
こんにちは(*^^*) 小坊主です。
アイキャッチ画像は、ハオルチア(多肉)の子株の植え替え後の様子です。
左が親で、右が子です。しっかり根付きますように☆彡
株価情報
日経平均 ▲0.17%
TOPIX +0.13%
グロース ▲1.32%
優待指数 +0.37%(うっどさん調べ)
株主優待関連IR
- 名古屋銀行 「株式分割」ならびに株式分割に伴う「定款の一部変更」及び「株主優待制度の変更」に関するお知らせ
- ユー・エス・エス 株主優待制度の拡充に関するお知らせ
保有銘柄
◆ 前日比 ↑176銘柄 ↓63銘柄 +0.59%
3%以上をピックアップ
下げた銘柄:
- ヤマト -3.13%
上げた銘柄:
- レック +8.48%
- サンリオ +6.67%
- 日本調剤 +4.16%
- 三菱商事 +3.88%
- ユー・エス・エス +3.04%
売買:
- なし
優待到着 クラレ
クラレの優待カタログから注文していた優待品が届いています(届いた日は4/15)
「愛知みかわ豚 桝塚味噌漬け」
●セット内容/ロース肉桝塚味噌漬65g×5枚

1000株3年以上だと優待品が3000円⇒10000円になるので
目指したいなぁと思うのですが、現在は500株に減らしています。。。
肩の痛み
肩が痛い件を数回ブログに書いていましたが、
病院に行くことをぴよちゃんに強く勧められ、重い腰を上げて行ってきました。
頻繁に、家で「いてて」「いてて」と言っていたので
気になりますよねー。
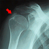
診断結果ですが、レントゲンを見ながら
先生に「石がありますね」と言われました(゚Д゚;)
棘上筋(きょくじょうきん)の上に石灰化した石があるそうです。
結構、時間が経過していないと、こうはならないそうで、
「随分我慢してたんじゃない?」と言われました。
ちょうど↓のような状態でした。結構大きいですがよくあるらしいです。
※画像は日本整形外科学会様からお借りしました
腕の可動域には問題がないため、
痛み止めの注射を打ち、あとは1日1回の「特別な湿布」で
様子を見ることにしました。
特別な湿布とは、「ジクトルテープ」という湿布のことなのですが、
身体のどこに貼っても、皮膚からゆっくり吸収され、血管内に取り込まれると、
内服したのと同じよう効果が得られるそうです。
痛みが消え、気にならなくなる方も多いそうなので、
このまま忘れられるくらい治ってしまうといいなと思います。
50肩だとばかり思って甘く見ていたので、病院に行ってみて良かったです(*^_^*)

それでは、明日も皆様にとって良い日になりますように
いつも押していただき、ありがとうございます。
ブログ更新の励みになっています!



コメント
小坊主さん、こんにちは!
たつやです。
肩のところに「石灰化した石」があるというのは初耳🤣
悪玉コレステロールとか原因じゃないですよね(私もLDL高い😱)
大事に至らずに痛みが早く治りますようお祈りしています✨
たつやさん、こんばんは(^-^)
石灰化したのは、おそらく女性ホルモンの影響だと思いますので、
悪玉コレステロールが原因じゃないと思います。
ご安心くださいね!
こんばんは♪
肩、石があったのですね!
それはびっくりです。とはいえ原因がわかってよかったですね。
ジクトルテープ、初めて聞きました。
患部に貼らなくてもいいのですか?
内服薬よりよさそうですね。
早く良くなることを祈ってます(*^-^*)
まめさん、こんばんは(^-^)
ぴよちゃんが漫画でそういうケースがあるのを
知っていたみたいで、「まさかぁ」と言っていたのですが
ずばり的中で驚きました(笑)
今は色々な治療薬がありますね。
今日は注射を打ったので、早速少し楽です。
いつも「いてっ」となる所で痛くなくて、物を取るのも安心です♪
小坊主さんおはようございます。病院に行って正解ですね。原因が解かったので治療が出来ますね。ぴよちゃんのアドバイスは良かった。痛みが緩和されて消えるので良かったです。お大事にしてください。
池ちゃん、こんにちは(^-^)
ご心配いただきありがとうございます。
石が写っていて驚きましたが、原因が分かった方が治療ができますね。
ぴよちゃんに感謝です♪
おはようございます(^-^)
50肩と思い込むのも無理ないですね
わたしも、そうなったら長い事、我慢してしまうタイプです
貼って、飲むのと同じような効果がある薬は期待したいですね
はやく、よくなりますように
何であれ、痛いのだけは嫌ですものね
わたしさん、こんにちは(^-^)
数年前にも一度痛くなって、その後治ったので
今回もそれかな、と過信していました。
今朝、拭き掃除などをしてみて、いつも痛む場所が随分楽になり
薬すごいなって思います。