
こんにちは(*^^*) 小坊主です。
東京は大雨で風も強く一歩も外に出られない状況です。
まだ植えたばかりのきゅうりが倒れやしないかと心配です(^-^;
優待品到着 ヒューリック③
12月権利 ヒューリック (3003)のカタログから選んだ優待品③が届きました。
カタログが届いた時のブログはコチラです。
1つ目は、ナポリ風ピッツァ3種セットで実食済みです。
2つ目は、いぶしベーコン600g(めるかーど)が到着済みです。
ピザとベーコン到着時のブログはコチラです。
3つ目は、「トスカーナ赤ワイン2本セット」を選んでおり、冷蔵便で届きました(5/15着)
◆トスカーナ赤ワイン2本セット
ぶどうの品種 サンジヴェーゼ、シラー
ボディ:フルボディ
飲み口:辛口
1つめに届いたピザ(ナポリ風ピッツァ3種セット)と一緒にいただきたかったですが、すでに実食済み。
ピザがとても美味しかったので、またカタログにあれば選ぼうと思っています。
右肩痛みのその後
最近、体調ネタが多くてすいません。
右肩の痛みですが、痛み止め注射、湿布でかなり改善していますが、
まだ手を挙げる角度によっては、痛いんですよね~
2週間湿布を続けてこの状態なので、
先生オススメの「ヒアルロン酸注射」を打っていただきました。

最初は、週に1回、保険適用で月に5回まで打てますよ。
とのことでした。
そんなに続けるものなのか・・・。とちょっと先行き不安になりますね。
保険適用とは言え、エコー検査して、注射を打つと2000円近くなるので、
毎週は負担です(´・ω・`)
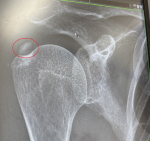
↓ 私の右肩のレントゲンです。赤で〇を付けた部分が石灰化です。
結構大きいですよね(゚Д゚;)
この石灰化が固いものか、柔らかいものかは、
レントゲンやエコーではわからないらしいです。
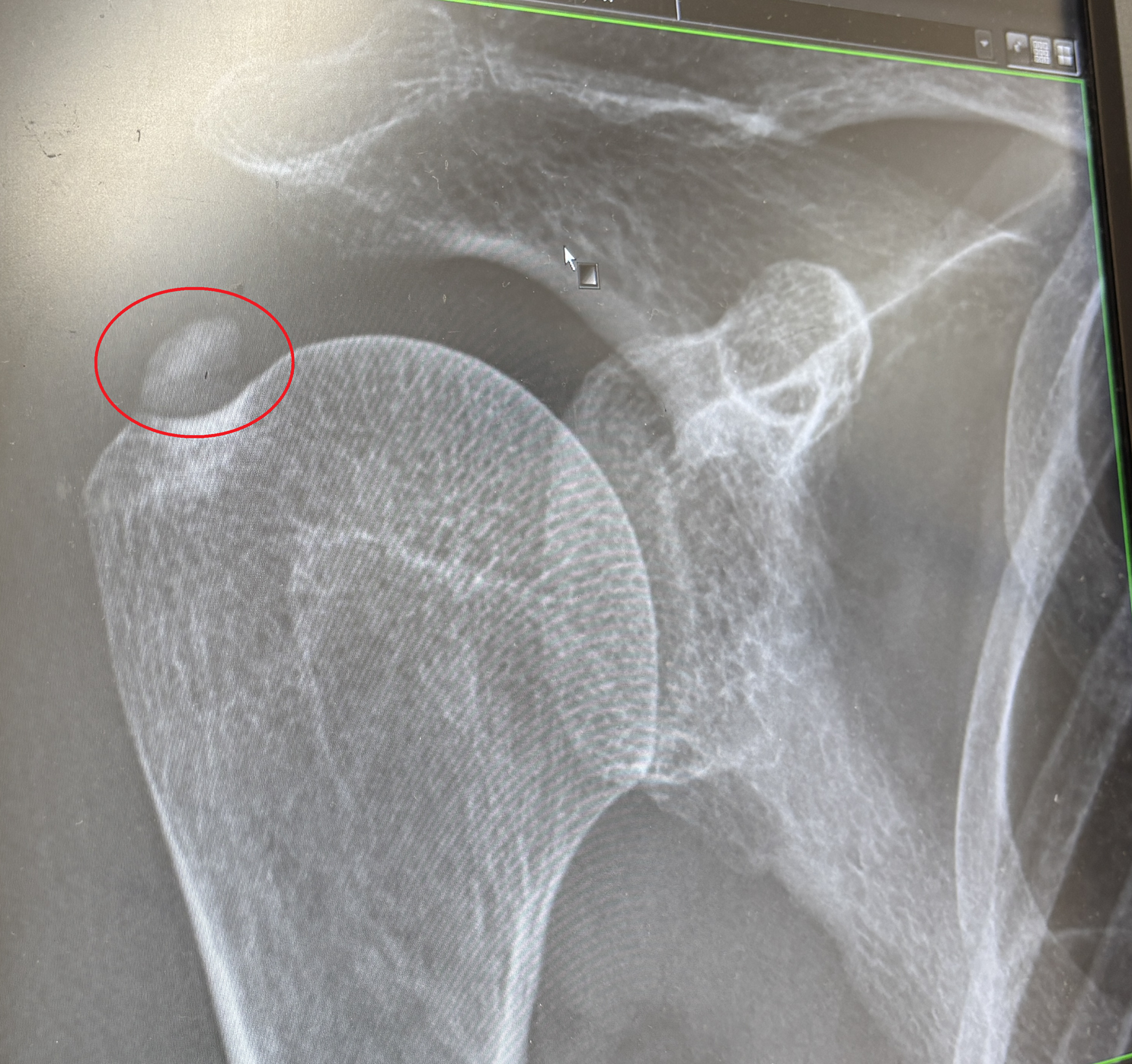
↓「ひざ関節症クリニック」様の画像をお借りしました。
この画像はイメージが分かりやすいです。
最初に痛み止めを打ったときほど、痛みが改善しないので、
画像のようにヒアルロン酸が関節の隙間に入っていないのかな・・・。
自然に、石灰化がなくなる場合もあるそうなので、
ぜひ消えてほしいなぁーと思います(*’ω’*)

それでは、明日も皆様にとって良い日になりますように
いつも押していただき、ありがとうございます。
ブログ更新の励みになっています!




コメント
こんばんは♪
今日はすごい雨でしたね。
出先でなければ家にいるのが正解だと思います(*^_^*)
右肩大変ですね。
良くなるのはいいのですが病院に通うのがそもそも大変ですよね。
効果があって早く良くなるといいですね!
まめさん、こんばんは(^-^)
雨もすごかったですし、風は今も結構吹いてますね。
外に出てしまえば何とかなっちゃうんですけど、出るまでは
気合が必要です(^-^;
時間があるので、通院は大変ではないのですが
何回も行くと地味にお金かかりますよね~
まるさんは肩いかがですか?良くなっているとよいのですが。